Tratamentos completos com foco em estética, saúde e funcionalidade

Especialidades Odontológicas

Implante Dentário

Recupere o Prazer de Sorrir

Ortodontia

Alinhe Seu Sorriso com Precisão

Odontologia Estética

Realce a Beleza do Seu Sorriso

Tradição, atualização e cuidado em cada sorriso

Sobre a clínica odontológica Vicente Alexandrino

Com mais de 24 anos de atuação e experiência acumulada ao longo de uma trajetória sólida, o Dr. Vicente Alexandrino fundou a clínica odontológica Vicente Alexandrino com a missão de oferecer tratamentos completos, seguros e modernos. Especialista em Ortodontia e Implantodontia, e com aperfeiçoamentos em áreas como Odontologia Estética, Periodontia e ATM, o Dr. Vicente proporciona soluções integradas, sem a necessidade de encaminhamentos externos — tudo em um só lugar, com excelência e comprometimento.

Veja transformações reais conquistadas com nossos tratamentos

Resultados que Falam por Si

Ortodontia

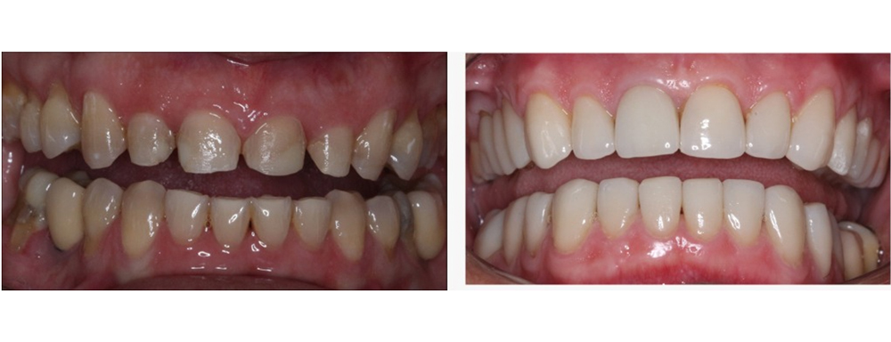
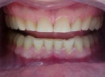
Paciente adulto com desgaste severo dos dentes

Saiba mais
Paciente adulto com desgaste severo dos dentes devido ao bruxismo, tratado com abordagem multidisciplinar envolvendo as especialidades de Ortodontia, Implantodontia e e Reabilitação Oral.

Implantodontia

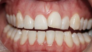
Paciente adulto tratado sem cirurgia ortognatica

Saiba mais
Paciente adulto tratado sem cirurgia ortognatica, com abordagem multidisciplinar envolvendo as especialidades de Ortodontia, Implantodontia e Reabilitação oral.

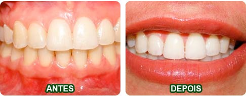
Odontologia Estética

Clareamento a laser

Odontologia Estética

Laminados cerâmicos

Saiba mais
Tratamento em que o cliente se queixava do tamanho dos dentes, onde foi reabilitado com laminados cerâmicos nas arcadas superior e inferior

Ortodontia

Tratamento multidisciplinar em paciente adulta

Saiba mais
Paciente adulta com ausencia de dois dentes na frente, recebeu tratamento ortodontico para repocisionar os dentes e promover espaço para dois implantes. Caso tratado nas especialidades de Ortodontia, Implantodontia e Odontologia Estética

Ortodontia

Tratamento multidisciplinar em paciente adulta 2

Saiba mais
Tratamento multidisciplinar em paciente adulta com ausência de vários dentes, onde recebeu tratamento nas especialidades de Ortodontia, Implantodontia, Prótese e Odontologia Estética.

Ortodontia

Tratameto multidisciplinar em paciente adulta 3

Saiba mais
Tratamento multidisciplinar em paciente adulta com ausência de dentes e mordida cruzada anterior, onde recebeu tratamento nas especialidades de Ortodontia, Implantodontia, Prótese e Odontologia Estética.

Implantodontia

Caso de enxerto autógeno

Saiba mais
Paciente adulto que recebeu tratamento ortodôntico para otimizar os espaços para reabilitação com implantes.

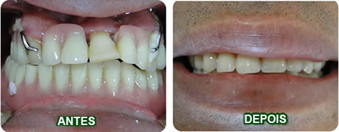
Implantodontia

Protocolo superior I

Saiba mais
Paciente usava dentadura superior, onde foi colocado implantes e prótese fixa

Implantodontia

Protocolo superior II

Saiba mais
O paciente usava prótese removível suportada em apenas 03 dentes e foram substituídos por implantes e prótese fixa em 72 horas

Agende Seu Atendimento!

O primeiro passo para o seu novo sorriso começa aqui

As respostas para as perguntas mais comuns sobre nossos tratamentos

Dúvidas? A Gente Responde

Sabemos que iniciar um tratamento odontológico pode gerar dúvidas. Por isso, reunimos aqui as perguntas mais frequentes feitas por nossos pacientes

Como saber se eu sou um candidato para tratamento com implante?
Em qualquer situação que houve a perda de um, vários ou mesmo todos os dentes; em casos de insatisfação com a mastigação, próteses mal adaptadas, esteticamente desfavoráveis, e outras situações que podem ser discutidas com o seu dentista.
 
A falta de dentes pode me prejudicar?
Sim. A falta de um ou mais dentes leva a todo um desequilíbrio da mordida e da musculatura das regiões vizinhas, causando uma perda estética, com aspecto de envelhecimento, e principalmente causam problemas de mastigação e dores na região da articulação dos maxilares.
 
Qual a idade ideal para colocar aparelho?
Não existe uma idade pré determinada para o tratamento ortodôntico, o problema que a pessoa apresentar é que vai indicar a melhor idade. Portanto, a idade recomendada para a primeira avaliação é em torno de oito anos, onde o ortodontista poderá avaliar se há algum distúrbio de crescimento nos maxilares que justifique o tratamento precoce, caso contrário poderá aguardar até os 12 anos, idade em que acontece a maturação das arcadas dentárias. Já no adulto, também não há idade para o tratamento ortodôntico, desde que os tecidos ósseo e periodontal estejam saudáveis. E nos adultos? No Adulto é necessário apenas saúde dos tecidos de sustentação dos dentes, pois trabalhamos com aparelhos auto ligados que requerem o mínimo de força e apresentam excelentes resultados com a metade do tempo gasto pelos aparelhos convencionais, estes preferidos pelos adultos, que procuram corrigir distúrbios mastigatórios, estéticos e o preenchimento facial.
 
Qual a relação que há entre ortodontia e implantodontia?
Existe uma relação bastante estreita, vez que, quando nós perdemos um ou mais dentes os dentes vizinhos mudam de posição, comprometendo o espaço para se instalar os implantes e colocar os dentes ausentes, então o ortodontista restabelece os espaços, para que os dentes ausentes sejam implantados, melhorando com isso a qualidade e a rapidez do tratamento.
 
É possível que eu tenha mau hálito e não saiba disso?
Sim. As pessoas que têm um mau hálito constante, por fadiga olfatória, não percebem seu próprio hálito. Somente as pessoas que têm períodos de halitose e períodos de normalidade conseguem percebê-lo.
 
Para colocar implante tem limite de idade?
Após terminar o crescimento, não há nenhuma limitação, o implante requer apenas de estrutura óssea saudável e suficiente para recebê-lo com estabilidade. As pessoas que perderam os dentes há bastante tempo, podem colocar implante? Com certeza, antes de colocar os implantes será solicitado exames que vão informar para o profissional a quantidade de osso que o cliente dispõe, após essa avaliação, será elaborado um plano de tratamento para cada situação.
 
Há rejeição de implantes?
Não, não existe rejeição dos implantes pelo organismo. O implante é feito de titânio e esse material é inerte ao osso. Isso quer dizer que o organismo não percebe que algo foi colocado no osso e por isso tenta fechar a perfuração feita pela broca para a colocação do implante. O osso na tentativa natural de preenche esse orifício, trava o implante isso é o que chamamos de osseointegração. Podem ocorrer problemas devido a intercorrências na cirurgia, no pós-operatório, pela qualidade do osso, mas não por rejeição.
 
Dói colocar implantes?
Não, a colocação de implantes é muito tranquila em relação à dor. A anestesia é local, exatamente a que se toma para fazer qualquer tratamento dentário. A única fase que poderia causar algum tipo de dor seria na hora de abrir a gengiva, mas hoje em dia nem isso fazemos muitas vezes. Quando chegamos no osso, a dor não ocorre pois o osso não tem inervação, então ele não dói. O pós-operatório é tranquilo, recomendando analgésico, antibiótico, anti-inflamatório e repouso apenas no dia da cirurgia. No dia seguinte o paciente já pode voltar as suas atividades de trabalho, com moderação.
 
O que são implantes dentários ósseo integráveis?
Implantes dentários ósseo integráveis são parafusos confeccionados em titânio puro que podem ser colocados dentro dos ossos maxilares, que são os substitutos das raízes, funcionando como fixação para diferentes tipos de próteses dentárias: de um único dente, de vários dentes, ou até mesmo de todos os dentes.
 
O que é especialidade em Implantodontia?
Implante dentário é a solução definitiva para a substituição dos dentes perdidos, devolvendo a capacidade de mastigação e a estética do seu sorriso.
 
O que é carga imediata?
Carga imediata é quando o Dentista instala o implante e a prótese na mesma hora ou em até 72hrs após a cirurgia. Para maiores informações consulte seu dentista.

Conteúdo informativo e atual para quem valoriza um sorriso saudável

Blog da Clínica